R E K L A M A
P O R E K L A M I E

Wieluń - forum,adresy, informacje, reklama, kluby, restauracje, komunikacja, pkp, pks, ogłoszenia, praca,mapa, firmy, radio




Wieluń - forum, informacje, ogłoszenia Strona Główna Wieluń - forum, informacje, ogłoszenia


FAQFAQ  SzukajSzukaj  UżytkownicyUżytkownicy  GrupyGrupy  StatystykiStatystyki
RejestracjaRejestracja  ZalogujZaloguj  AlbumAlbum  Chat  DownloadDownload

Poprzedni temat :: Następny temat
Zamknięty przez: glizda
2009-05-12, 13:01
Aparat retencyjny
Autor Wiadomość
Dominika 
WIELUNIAK


Pomogła: 24 razy
Wiek: 41
Dołączyła: 12 Lip 2005
Posty: 3430
Piwa: 3/4
Skąd: mazowieckie
Wysłany: 2009-04-10, 07:15   Aparat retencyjny

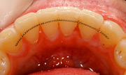
Mam pytanie, czy ktoś z forumowiczów nosił kiedyś aparat stały, a później aparat retencyjny?
Mam opcję do wyboru: aparat retencyjny stały (rys.3) albo ruchomy(rys.1). Czy którąś możecie polecić? :D

aparat_retencyjny3.jpg
Plik ściągnięto 20335 raz(y) 9,03 KB

aparat_retencyjny1.jpg
Plik ściągnięto 20335 raz(y) 11,04 KB

Postaw piwo autorowi tego posta
 
   
hajen 
W trakcie przeprowadzki do Wielunia
4x2+8x1x1+2+1



Pomógł: 27 razy
Wiek: 36
Dołączył: 17 Mar 2007
Posty: 1451
Piwa: 29/26
Skąd: Wieluń/Warszawa
Wysłany: 2009-04-10, 10:15   

Nosiłem taki jak ten na drugim zdjeciu i zabki mi sie wyprostowaly ;) Jak bylem maly, to jedynki rosly mi w ten sposob, ze jedna zachodzila na druga. Nie sa teraz idealnie rowne (ale to odczucie jak sie przejedzie jezykiem), ale z zewnatrz wszystko proste ;)
_________________
Też jestem w szoku.
Postaw piwo autorowi tego posta
 
   
Dominika 
WIELUNIAK


Pomogła: 24 razy
Wiek: 41
Dołączyła: 12 Lip 2005
Posty: 3430
Piwa: 3/4
Skąd: mazowieckie
Wysłany: 2009-04-10, 12:19   

Jak byłam mała mała, to też nosiłam taki ruchomy. Tylko, że wtedy ortodonta nie przewidział tego, że mi wyskoczą wszystkie 8mki. Teraz prawie 2 lata noszę stały no i po jego ściągnięciu ma być ten retencyjny. Nie ma różnicy w cenie, mam się zdecydować, który będę nosić. :roll:
Postaw piwo autorowi tego posta
 
   
Acree 
Mieszka pod Wieluniem
Gendo Addict



Pomogła: 9 razy
Wiek: 35
Dołączyła: 23 Cze 2007
Posty: 846
Skąd: z gabinetu Gendo
Wysłany: 2009-04-10, 12:27   

Bierz stały.. Retencyjnego nie bedzie Ci się chciało nosić. Zawsze będzie: upps zapomniało mi się założyć na noc.
_________________
http://myanimelist.net/signature/acree.png
Postaw piwo autorowi tego posta
 
 
   
Basia 
Wieluniaczek
Dwa oblicza ]:-)



Pomogła: 16 razy
Wiek: 39
Dołączyła: 21 Wrz 2005
Posty: 1719
Piwa: 9/1
Skąd: Wieluń
Wysłany: 2009-04-10, 12:34   

Też bym wzięła stały.
_________________
www.pajacyk.pl
Postaw piwo autorowi tego posta
 
   
Dominika 
WIELUNIAK


Pomogła: 24 razy
Wiek: 41
Dołączyła: 12 Lip 2005
Posty: 3430
Piwa: 3/4
Skąd: mazowieckie
Wysłany: 2009-04-10, 17:09   

Uzupełniłam troszkę informacje, które przekazał mi ortodonta. Na górę będę miała na pewno ruchomy, waham się co do dołu. Na dół lepszy byłby ten stały, bo dolna szczęka jest narażona na większy ucisk i związane z tym przemieszczanie się zębów. Minusem, jest to, że jest ten drucik, którego nie można się pozbyć, wtedy kiedy się chce. :wink: Przy jedzeniu aparat ruchomy można, a nawet trzeba wyciągnąć, a właśnie wtedy są zęby narażone na największy ucisk. Jeśli chodzi o zapominanie zakładanie, to wiem, że nie mam z tym problemu ;] Mam jeszcze troszkę czasu do ostatecznej decyzji. Jak zawsze + i - .
Dziękuję za rady. g:D
Postaw piwo autorowi tego posta
 
   
Acree 
Mieszka pod Wieluniem
Gendo Addict



Pomogła: 9 razy
Wiek: 35
Dołączyła: 23 Cze 2007
Posty: 846
Skąd: z gabinetu Gendo
Wysłany: 2009-04-10, 23:51   

No to bierz stały i tyle. Przezyjesz z jednym drutem . Gorzej jakbyś miała dwa.
Miałabyś na początku problemy z wyraźnym mówieniem, a tak jak masz jeden to dasz rade spokojnie.
_________________
http://myanimelist.net/signature/acree.png
Postaw piwo autorowi tego posta
 
 
   
Dominika 
WIELUNIAK


Pomogła: 24 razy
Wiek: 41
Dołączyła: 12 Lip 2005
Posty: 3430
Piwa: 3/4
Skąd: mazowieckie
Wysłany: 2009-05-12, 12:29   

Już po bólu. Po prawie dwóch latach rozstałam się z ustrojstwem. :D Na dól mam od wewnątrz drucik, a na górę ruchomy aparat. :wink:
Temat można zamknąć.
Postaw piwo autorowi tego posta
 
   
Wyświetl posty z ostatnich:   
Ten temat jest zablokowany bez możliwości zmiany postów lub pisania odpowiedzi
Nie możesz pisać nowych tematów
Nie możesz odpowiadać w tematach
Nie możesz zmieniać swoich postów
Nie możesz usuwać swoich postów
Nie możesz głosować w ankietach
Nie możesz załączać plików na tym forum
Możesz ściągać załączniki na tym forum
Dodaj temat do Ulubionych
Wersja do druku

Skocz do:  

Powered by phpBB modified by Przemo © 2003 phpBB Group
Template Acid v 0.4 modified by Nasedo.


Wieluń Forum dyskusyjne
Kontakt z Administracją Forum | Kontakt z właścicielem domeny
Stomatolog Wieluń Sprawdzenie przebiegu BMW | Iris Trade Łódź Montaż instalacji gazowych | Skracanie linków | Klinika BMW | Notariusz Włochy BMW SPRAWDZENIE PRZEBIEGU,HISTORIA SERWISOWA BMW